Мрт омт у мужчин подготовка

Практически все магнитно-резонансные обследования не требуют специальной подготовки, но именно МРТ малого таза у мужчин и у женщин нуждается в подготовительных действиях. Тут успех томографического исследования будет зависеть от того, насколько хорошо подготовленным пришел пациент. Полный и детальный инструктаж о подготовке к сканированию пациент получает при записи на обследование. В этой статье мы отметим основные аспекты данного процесса.

Диета перед МРТ органов малого таза у мужчин
Ниже приведены базовые требования к диете перед томографией таза:
- Нельзя за день до обследования есть клетчатку и продукты, повышающие газообразование;
- Нельзя выпивать более 200 мл алкоголя;
- Не стоит принимать пищу за 4-6 часов до начала томографии.
Одно из важных условий для проведения информативной магнитно-резонансной томографии — это среднее наполнение мочевого пузыря. Главное, чтобы он не был заполнен до конца, иначе петли кишечника могут прийти в движение и смазать картинку, или совершенно пуст. Самому пациенту также не будет комфортно: находиться в туннеле томографа 40 минут неподвижно с полным мочевым пузырем — задача не из легких.
Подготовка в день обследования
В день самого обследования мужчина должен предпринять ряд подготовительных шагов:
- Для того, чтобы не было артефактов от остаточного газообразования в кишечнике, рекомендуется за 2 часа до начала процедуры принять две таблетки активированного угля на каждые 10 килограммов веса, либо можно принять препарат «Эспумизан».
- Перед скринингом нужно опорожнить кишечник. Содержание газа в кишке очень плохо влияет на информативность исследования. Происходит потеря сигнала из-за того, что газ соприкасается с реагирующими на аппарат тканями, и качество диагностики резко падает.
- Если у пациента нет проблем с кишечником, то нужно утром перед обследованием сходить в туалет, если же пациент страдает от запоров, то ему нужно вечером сделать клизму и прочистить кишечник. В идеале, конечно же, акт дефекации должен проходить естественным путем, но если нет такой возможности, то можно прибегнуть и к хитростям типа слабительного. Однако следует помнить, что переусердствовав с клизмой и слабительным, вы можете добиться противоположного эффекта. Сильное чужеродное вмешательство в желудочно-кишечный тракт вызывает раздражение стенок кишечника. Это может привести к усиленной перистальтике, что снизит информативность МРТ органов малого таза.
Противопоказания
Для магнитно-резонансной томографии есть не так много противопоказаний. Ниже приведен перечень того, с чем нельзя или сложно будет делать МРТ малого таза.
- Металлические элементы в теле пациента;
- Имплантаты из ферромагнитных материалов;
- Металлические протезы;
- Кардиостимуляторы;
- Инсулиновая помпа;
- Слуховые имплантаты.
При печеночной и почечной недостаточности мужчине может быть опасно делать МРТ органов малого таза с контрастированием из-за угрозы развития нефропатии. МРТ с контрастом с данными заболеванием возможно только при условии проведенных дополнительных анализов на уровень железа и креатинина в крови.
Противопоказанием к томографии может являться психическая нестабильность пациента или невозможность для пациента лежать в спокойном состоянии определенное для исследования время из-за панических атак или клаустрофобии.
Одно из важнейших требований к магнитно-резонансной томографии — это отсутствие любых движений. К сожалению, в паховой области добиться полной статичности невозможно из-за анатомических особенностей. Ведь пациент дышит, в его ЖКТ происходит движение газов. Именно поэтому МРТ малого таза принято проводить с задержками дыхания. Время задержки для хорошего результата должно быть примерно 11-18 секунд. Люди пожилого возраста часто не могут удержать свое дыхание так долго, начинают сбиваться. Из-за этого дополнительно появляется движение, и это очень плохо сказывается на качестве МРТ снимков. Артефакты дыхания — часто встречающаяся вещь при томографии органов малого таза у мужчин. Поэтому иногда рентгенологам приходится прерывать обследование и оправлять пациента на КТ органов малого таза.
МРТ НОЧЬЮ
| МРТ головы | 2500 |
| МРТ позвоночника | 2500 |
| МРТ суставов | 2500 |
| МРТ сосудов | 2500 |


Автор статьи: Телегина Наталья Дмитриевна
Врачебная специальность: Главный врач МРТ центра РИОРИТ, Врач терапевт
Записаться на прием: МРТ и УЗИ центр РИОРИТ
Последние статьи об МРТ

Магнитно-резонансная томография в клинической практике используется более 30 лет, и за этот срок апробации не было выявленного ни одного случая негативного воздействия МРТ на здоровье человека. Также, как и УЗИ, этот метод считается абсолютно безопасным, но для данного вида диагностики существует ряд абсолютных

МРТ органов малого таза у женщин является простой процедурой, которая не требует от пациентки сложной подготовки. Женщина может записаться и пройти обследование в любой удобный день за исключением дней менструации. После окончания диагностики женщина может сразу же вернуться

В медицинских центрах СПб все активнее используются возможности МРТ органов малого таза с контрастом в диагностике рака матки или шейки матки. Раком матки (карцинома) страдает 20% представительниц прекрасного пола, достигших своего климактерического и менопаузного периода. Главный
Источник
Многие виды магнитно-резонансной диагностики не требуют какой-либо особенной подготовки, но к МРТ органов малого таза у мужчин такая подготовка необходима, ведь от этого зависит информативность, полнота и точность обследования. Обычно во время записи на МРТ органов малого таза пациент полностью информируется о том, как следует подготовиться, какие документы и выписки необходимо взять с собой. На этой странице для вашего удобства мы собрали всю необходимую информацию по вопросу правильной подготовки к МРТ малого таза у мужчин.
Диета накануне МРТ органов малого таза у мужчин

За день до обследования следует исключить некоторые продукты питания, особенно: необработанные овощи и фрукты, бобовые, свежий ржаной хлеб, газированные напитки, пиво и квас, сладости, жирную и острую пищу. Все эти продукты значительно повышают процесс газообразования в желудочно-кишечном тракте, что может помешать качеству и информативности диагностики. Воздержаться следует и от принятия алкоголя, чтобы не спровоцировать сильное желчеобразование.
Людям, склонным к повышенному метеоризму, дополнительно необходимо за день до обследования принять препараты, снижающие газообразование, например, Эспумизан (или его аналоги) по 2 капсулы 3 раза в день после еды.
Подготовка в день проведения МРТ
На диете накануне обследования подготовка к МРТ малого таза у мужчин не заканчивается, она продолжается также и в день проведения исследования.
В день диагностики утром допускается легкий завтрак (за 2-3 часа до процедуры), а если диагностика проводится утром, то прийти лучше натощак. После завтрака также рекомендуется принять Эспумизан или активированный уголь (1 таб. на 10 кг веса пациента), так как повышенное содержание газов в кишечнике снижает информативность томографии.
Важно запомнить, что мочевой пузырь должен быть наполнен примерно наполовину. Он не должен быть пустым или очень туго заполненным, тогда вылежать 30-40 минут в трубе томографа будет очень сложно, но при пустом мочевом пузыре картина сканирования не будет четкой. Для достижения средней наполненности пузыря можно помочиться за 2 часа до томографии, потом выпить 2 стакана воды и больше не ходить в туалет. Если это условие не соблюсти, результаты обследования самого мочевого пузыря могут быть некорректными.
За 40 минут до МРТ можно принять 2 таблетки но-шпы. Это необходимо для дополнительного расслабления мышц внутренних органов и повышения информативности обследования.
Подготовка кишечника перед МРТ малого таза у мужчин
Еще одна рекомендация касается естественного очищения прямой кишки перед томографией, так как прямая кишка входит в протокол сканирования при МРТ органов малого таза. Если естественный акт дефекации затруднен, имеет место склонность к запорам, то рекомендуется накануне вечером поставить слабительную микроклизму «Микролакс» или глицериновую свечу. Принимать внутрь слабительные средства не надо, так как они сильно стимулируют перистальтику кишечника, что в свою очередь создаст помеху для получения качественных снимков во время МРТ.
Прямую кишку нужно будет очистить в обязательном порядке, если пациент записан на МРТ предстательной железы с использованием эндоректального датчика. Дело в том, что при обычной магнитно-резонансной томографии малого таза специальная катушка для сканирования Body накладывается поверх живота пациента. Если мужчине проводят МРТ малого таза эндоректальным способом, ему дополнительно на несколько сантиметров в задний проход вставляют тонкий датчик для улучшения сигнала и максимально точного обследования предстательной железы. Остаточные каловые массы в прямой кишке могут помешать правильной установке оборудования.
Противопоказания и ограничения при МРТ органов малого таза у мужчин
Метод магнитно-резонансной томографии признан одним из самых безопасных видов диагностики, но некоторые ограничения для его применения все же есть:
- Любые металлические элементы в теле. Это могут быть стальные суставные протезы, скобы, осколки от ранений.
- Электронные водители ритма типа кардиостимуляторов, инсулиновых помп, слуховых имплантантов, если в паспорте изделия не стоит отметка о его совместимости с МРТ.
- Ювелирные украшения и металлические элементы одежды. Их необходимо снять до начала исследования.
- Психические заболевания, которые не дают возможности спокойно пролежать, не шевелясь, установленное время исследования.
- Клаустрофобия (боязнь замкнутых пространств) является относительным противопоказанием, особенно ее тяжелые формы с реакцией в виде панических атак. В этом случае можно принять седативные препараты и выбрать укороченный тип томографа.
Почечная недостаточность является фактором риска для проведения МРТ малого таза с контрастированием, поскольку контрастное вещество выводится из организма почками, и у почечных больных возникает угроза развития такого осложнения, как нефропатия. Поэтому при наличии этого диагноза пациенту необходимо предоставить врачу-рентгенологу результаты анализа крови на креатинин. Также некоторые клиники просят принести этот анализ всех пациентов старше 60 лет, если им назначено МРТ с контрастным усилением.
Залог успешного прохождения МРТ органов малого таза – это полное отсутствие каких-либо движений во время сканирования, необходимо добиться полной статики. Но во время дыхания происходит непроизвольное движение тела, снижается качество снимков, поэтому пациента просят несколько раз задерживать дыхание. Для качественных снимков задержать дыхание необходимо на 11-18 секунд, что удается не всем пациентам в силу своих заболеваний или преклонного возраста. Пациент сбивается, начинает дышать раньше команды, что делает невозможным продолжать исследование. Иногда врач-рентгенолог вынужден остановить обследование по этой причине и перенаправить пациента на компьютерную томографию малого таза или УЗИ.
Последние статьи об МРТ

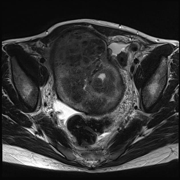
Что покажет МРТ малого таза
МРТ малого таза (полное название магнитно-резонансная томография) — это детальное, неинвазивное сканирование мочеполовой системы женщины и мужчины. По своей безопасности и безвредности она сопоставима с ультразвуковым сканированием, однако информационная точность и ценность данного обследования в разы выше.

МРТ органов малого таза у мужчин
Сделать МРТ органов малого таза мужчине по недорогой цене в СПб поможет Общегородская служба записи на МРТ и КТ. Для удобства на нашем портале мы собрали полную информацию об адресах и ценах на томографию как в коммерческих, так и государственных клиниках Санкт-Петербурга и Ленинградской области. Наши специалисты будут рады помочь Вам лучше понять, как делают мужскую МРТ малого таза, какова подготовка к сканированию и стоимость томографии с контрастом в каждом конкретном случае.

Противопоказания к МРТ
Магнитно-резонансная томография — это безопасное обследование без лучевой нагрузки, но и она имеет ряд противопоказаний в зависимости от модели томографа и протокола обследования — с контрастом или без. Томография нашла широкое применение в нейрохирургической, онкологической, ортопедической и неврологической практике для исследования позвоночника, головного мозга, сосудов, суставов, внутренних органов и мягких тканей.
Источник


На МРТ малого таза мужчину при необходимости отправляет врач узкой специализации – уролог, и для успешного ее проведения требуется несложная подготовка. Обычно в клиниках Санкт-Петербурга первоначальным методом диагностики патологии мужской мочеполовой системы будет УЗИ или ТРУЗИ. Однако в случае подозрения на серьезную патологию пациент будет отправлен на дообследование методом МРТ органов малого таза с контрастом или без, или КТ малого таза. Здесь выбор будет делать лечащий врач, опираясь на противопоказания и первичный диагноз.
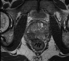
Как делают МРТ органов малого таза у мужчин
Томография области малого таза у мужчин может проходить двумя способами:
- внеполосное — это когда МРТ катушка ставится сверху на область исследования, и пациент завозится внутрь томографа. Метод неинвазивный и не причиняет никаких неприятных ощущений.
- внутреннее – здесь используется специальная эндоректальная катушка, которая вводится в прямую кишку. Этот метод обладает наибольшей разрешающей способностью, но у чувствительных мужчин может вызвать легкий дискомфорт. В ходе ректального МРТ органов малого таза снижается расстояние между МРТ катушкой и приемником, что всегда улучшает качество получаемых снимков.
Во время процедуры задача пациента полежать без движения на протяжении всего исследования, которое занимает 30-40. Врач-диагност будет давать команды по задержке дыхания, и выполнять их нужно правильно, от этого будет зависеть полученный результат.
Работа аппарата сопровождается различными достаточно громкими звуками. Чтобы звуки сильно не беспокоили, можно воспользоваться специальными наушниками, которые предлагает врач перед исследованием. Также можно принести с собой беруши и использовать их. Кроме звуковых сигналов аппарата пациента ничего беспокоить не будет.
По окончании сканирования пациент получит на руки заключение врача-рентгенолога и исследование, записанное на диск. При желании можно распечатать снимки на пленку.
-
МРТ малого таза
| Исследование | Цена МРТ 0,2-1,5 Тл | Цена МРТ 3 Тл |
|---|---|---|
МРТ малого таза у женщин (матка, влагалище, придатки, яичники, мочевой пузырь, мочеточники, прямая кишка) | от 3500 руб. | от 7000 руб. |
МРТ малого таза у мужчин (предстательная железа, мочевой пузырь, мочеточники, прямая кишка) | от 3500 руб. | от 7000 руб. |
| МРТ наружных половых органов (половой член, мошонка, яички) | от 4000 руб. | от 7000 руб. |
| МРТ прямой кишки (МР-колоноскопия толстого кишечника) | от 4500 руб. | от 7000 руб. |
| МРТ всего тела с применением диффузионной МРТ (онкоскрининг) | от 10300 руб. | от 42000 руб. |
Как подготовиться к МРТ малого таза с контрастом
МРТ исследование малого таза у мужчин иногда назначают с введением контрастного вещества для более детальной визуализации. Процесс введения контрастного вещества совсем не сложный и представляет собой внутривенную инъекцию. Вещество не вызовет аллергию, и все же, если у пациента имеются проблемы с почками, то лучше обсудить это с лечащим врачом и сдать анализ крови на креатинин до исследования. Принцип контрастирования заключается в том, что пациенту вводят внутривенно небольшое количество контрастного препарата, а затем фиксируют реакцию организма по накоплению контраста в тканях. Контрастирующее вещество имеет неустойчивую формулу, быстро распадается и полностью выводится организмом самостоятельно через сутки после диагностики.


Диета перед МРТ органов малого таза у мужчин
Основные виды исследования с помощью МРТ не требуют специальной подготовки, а вот томография малого таза будет исключением. Насколько успешно будет проведено сканирование зависит на 50% от правильной подготовки томографии.
Подготовка будет несложной, и состоит она из диеты для исключения газообразования. Итак, накануне обследования стоит исключить такие продукты как бобовые, сырые овощи и фрукты, квашеную капусту, хлебобулочные изделия, соки, газировку, алкоголь. Во время подготовительных дней не лишним будет попринимать активированный уголь из расчета 1 таблетка на 10 кг веса человека или препараты, улучшающие пищеварение, такие, как «Эспумизан» или «Мезим-Форте».
Не следует принимать пищу за 3 часа до обследования. Непосредственно перед процедурой требуется освободить мочевой пузырь. С наполненным пузырем петли кишечника будут подниматься и давать артефакт. К тому же переполненный пузырь может вызывать сильный дискомфорт у пациента, ведь процедура достаточно длительная. Дополнительную пользу принесет опорожнение кишечника перед процедурой.
Самое большое значение для получения результата высокого качества имеет отсутствие газа в кишечнике. При его наличии идет потеря сигнала, и изображение ухудшается. Газ в кишечники дает эффект засвета. Кроме того, само содержимое газа стимулирует движение кишечника, что само по себе снимает четкость изображения. Поэтому к подготовке к МРТ малого таза мужчине следует отнестись с полной серьёзностью.
Иногда в интернете можно прочитать информацию о том, что перед диагностикой необходимо сделать очистительную клизму или выпить слабительное. Это очень спорное убеждение, т.к. любые вмешательства в кишечник несут дополнительное раздражение стенок и усиление перистальтики как обратную реакцию, появляется отек в стенке и близлежащей области. Это значительно ухудшает визуализацию на МРТ снимках.

Бесплатная консультация о диагностике
Если сомневаетесь, запишитесь на бесплатную консультацию
или проконсультируйтесь по телефону
+7(812) 209-10-39
Противопоказания
Как и у других методов исследования, у МРТ есть свои противопоказания. Пациенту будет назначен иной метод диагностики, если в теле есть металлосодержащие компоненты, искусственные водители ритма, пейсмекеры, клипсы, стенты в сосудах, импланты кохлеарного типа, суставные эндопротезы, искусственные сердечные клапаны, кардиостимуляторы, дефибрилляторы, помповые импланты, стимуляторы, винты, стенты, штифты, пластины, скобы и т.д.
Исследование с применением контраста не стоит делать при печеночной и почечной недостаточности.
К относительным противопоказаниям можно отнести больного с психическими расстройствами, а также затруднительно будет сделать МРТ человеку с избыточным весом, так как МРТ-аппарат закрытого типа имеет ограничения по весу и объему до 120 кг и 120 см в диаметре. В случае болевого синдрома пациенту сложно будет лежать длительное время без движения, здесь можно принять обезболивающее средство. У пациента с клаустрофобией есть возможность пройти МРТ на аппарате укороченного типа.
Важнейшим условием для получения качественных снимков является неподвижность во время сканирования. К сожалению, в области паха и живота добиться этого сложно, поскольку человек дышит, газы в кишечнике движутся, а сердечная мышца качает кровь. Вот поэтому МРТ органов малого таза проводится с задержкой дыхания, которая стандартно занимает 11-18 секунд. Людям старшего и пожилого возраста сложно бывает задержать дыхание на такое время, и когда они начинают сбиваться, появляются дополнительные движения, которые в свою очередь сказываются на качестве снимков.
Дополнительная информация
Источник