Мрт опухоль покажет в груди
МРТ молочных желез с контрастом является одним из информативных методов диагностики рака груди. Услугу томографии груди в СПб предлагают многие диагностические центры, оснащенные высокопольными аппаратами мощностью 1,5 Тесла и выше. В первую очередь это обследование востребовано среди врачей-маммологов для диагностики различных опухолей и патологий женской груди и подмышечных лимфоузлов. В структуре онкологической заболеваемости женского населения рак молочной железы занимает лидирующее место и является одной из значимых причин смертности среди женщин. По данным статистики Всемирной Организации Здравоохранения, заболевания молочных желез выявляются у четверти женщин до 30 лет и у больше половины представительниц прекрасного пола старше 40 лет. К сожалению, отягощенный семейный анамнез, ряд мутаций генов (BRCA1, BRCA2, р53 и т.д.) приводят к крайне высокому риску развития РМЖ.
Преимущества магнитно-резонансной томографии
На сегодняшний день маммография (МГ) является самым распространенным методом диагностики рака груди у женщин старше 40 лет. Маммографическое исследование является относительно быстрым в выполнении и недорогим методом исследования молочных желез. Однако эффективность маммографии в онкопоиске у пациенток младшего возраста низкая из-за особенностей строения железистой ткани (высокая плотность молочных желез). Поэтому при диагностике РМЖ необходимо использование дополнительных методов, таких как ультразвуковое исследование (УЗИ) и магнитно-резонансная томография (МРТ), которые позволили бы повысить выявляемость онкопатологий на ранней стадии. Такая безболезненная и информативная процедура, как МРТ молочных желез, помогает всем желающим пройти более точный онкоскрининг. МРТ груди успешно диагностирует большинство патологий молочных желез: от маститов и доброкачественных кист до фиброза и рака молочной железы. С помощью магнитно-резонансной томографии можно провести оценку состояния силиконовых имплантов. Однако чаще всего данное обследование используется для точной диагностики рака молочных желез. Проводится оно по протоколу МРТ молочных желез с динамическим контрастным усилением. Направление на него обычно врач выдает, если данные УЗИ или МГ носят тревожный характер или у пациента есть признаки рака.
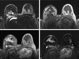
Признаки рака на МРТ молочных желез
Врачи диагностических центров СПб при поиске рака на МРТ молочных желез с контрастированием обращают внимание на следующие признаки:
- наличие самого образования, узла;
- неоднородность структуры опухоли;
- расположение новообразования вдоль протоков;
- лучистые контуры, как у звезды;
- реакция кожи, соседних тканей, сосков;
- патологические изменения в сосудистой сети;
- опухоль быстро накапливает и сбрасывает контраст.
| Исследование | Цена | Цена МРТ 3 ТЛ | Скидки | 
|---|---|---|---|
| МРТ мягких тканей лица | от 4000 руб. | от 8000 руб. | Ночью | 
| МРТ мягких тканей бедра | от 4000 руб. | от 8000 руб. | Ночью | 
| МРТ мягких тканей шеи | от 4000 руб. | от 8000 руб. | — | 
| МРТ мягких тканей конечностей | от 4000 руб. | от 8000 руб. | Ночью | 
| МРТ горла и гортани | от 4000 руб. | от 8000 руб. | Ночью | 
| МРТ мягких тканей с контрастом | от 7000 руб. | от 11000 руб. | — | 
Как проходит томография груди при раке молочных желез?
Первым шагом пациентам необходимо записаться на МРТ молочных желез с контрастированием на томографе мощностью не менее 1.5 Тесла. Особой подготовки такое сканирование от женщины не требует, однако лучше всего избежать еды за 2 часа до процедуры, чтобы введение контраста не вызвало рвоту и тошноту.
Перед заходом в диагностический кабинет женщину попросят снять все металлические элементы и расскажут обо всех противопоказаниях. Затем ее пригласят разместиться на томографическом столе, уложив груди в специальную МРТ катушку. Перед сканированием медперсонал установит катетер в вену руки, чтобы вводить контраст по ходу обследования. Самое важное для качественного проведения МРТ груди — это сохранять абсолютную неподвижность во время процедуры. Любое движение может смазать снимки и снизить качество томографии. В положении лежа в томографе женщине необходимо будет провести 30-40 минут. Работа томографа сопровождается шумом. Если это вызывает раздражение, у пациента есть возможность надеть шумоподавляющие наушники.
Расшифровка
После окончания томографии молочных желез пациентку попросят подождать 30-40 минут, пока врач осуществляет расшифровку результатов. Итогом сканирования станут: МРТ снимки, письменное заключение врача и рекомендации по дальнейшим шагам. Следует сказать, что врач- диагност в своем описании укажет все признаки раковых образований, однако окончательный диагноз и лечение всегда назначает лечащий врач пациента на базе всех полученных данных. Если результаты МРТ молочных желез вызывают вопросы о наличии онкологии, то МРТ центр может провести процедуру второго экспертного мнения, когда снимки оценит независимый специалист и даст свое заключение. В особо сложных случаях данные томографии будут верифицированы с помощью биопсии груди.

Автор:Сушков Слава Андреевич
Специализация: Врач рентгенолог МРТ
Где ведет прием: МИБС ЛДЦ
КАК ПРОВЕРИТЬ,ЧТО ВАМ КАЧЕСТВЕННО СДЕЛАЛИ МРТ?
- МРТ снимки должны быть записаны в формате DICOM на любой электронный носитель. Изображения, распечатанные только на пленке, малоинформативны и не позволят врачам провести детальную оценку результатов диагностики в сложных или спорных случаях.
- Максимальный шаг сканирования качественной МРТ составляет не более 2-4 мм. Перед началом обследования уточните у врача, какой шаг выставлен в диагностической программе на компьютере томографа.
- При онокопоиске МРТ исследование в большинстве случаев должно быть выполнено с контрастным усилением на аппарате мощностью не менее 1.5 Тесла. Особенно это важно при диагностике опухолей молочных желез, органов малого таза и брюшной полости.
- Качественные МРТ снимки не должны быть испорчены артефактами от металла и движения. Если есть изображения с эффектом “засвета” требуйте, чтобы обследование провели повторно!
Список источников:
- Хайленко, В.А. Диагностика рака молочной железы / Под ред. В.А. Хайленко, Д.В. Комова, В.Н. Богатырева. — М.: ООО «МИА», 2005.
- Smith, RA American Cancer Society guidelines for breast cancer screening / RA Smith, D Saslow, K.A. Sawyer // CA Cancer J Clin. — 2003. — Vol.53, № 3.
- Корженкова, Г.П. Возможности магнитно-резонансной томографии в алгоритме обследования пациентов с заболеваниями молочной железы / Г.П. Корженкова, А.Б. Лукьянченко, Д.И. Зернов // Маммология. -2006.
- Kriege, M. Efficacy of breast cancer screening with MRI and mammography in women with a familial or genetic predisposition / M Kriege, CTM Brekelmans, C Boetes, et al.//N Eng J Med. — 2004. — Vol.351, №5.
- Юхно, Е.А. Роль и значение магнитно-резонансной маммографии с динамическим контрастным усилением в дифференциальной диагностике узловых образований молочных желез / Е.А. Юхно, Г.Е. Труфанов, В.А. Фокин, C.B. Серебрякова // Амбулаторная хирургия. Стационарозамещающие технологии. — 2007. — № 3.
- International Agency for Research on Cancer. I ARC handbooks of cancer prevention: breast cancer screening. Lyon: IARC, 2002.
- Серебрякова, C.B. Методика магнитно-резонансной маммографии / C.B. Серебрякова, В.А. Фокин // Опухоли Женской Репродуктивной Системы. — 2006. — № 4.
Последние статьи об МРТ

Что лучше при раке груди — МРТ молочных желез, УЗИ или маммография?
УЗИ, маммография и МРТ молочных желез с контрастом — это три основных метода диагностики рака груди. Что из них лучше и раньше покажет онкологию? Давайте разбираться. Рак молочной железы — одно из самых часто встречающихся онкологических заболеваний в мире. По общему числу заболевших он занимает второе место после рака легких. У женщин рак молочной железы является самым

Противопоказания к МРТ
Магнитно-резонансная томография — это безопасное обследование без лучевой нагрузки, но и она имеет ряд противопоказаний в зависимости от модели томографа и протокола обследования — с контрастом или без. Томография нашла широкое применение в нейрохирургической, онкологической, ортопедической и неврологической практике для исследования позвоночника, головного мозга, сосудов, суставов, внутренних органов и мягких тканей.

Где сделать МРТ в СПб?
Чтобы пройти МРТ в медицинских центрах Санкт-Петербурга, необходимо записаться на диагностику. Адреса и цены на услугу томографии в различных клиниках вам подскажут в нашем центре записи. В базе данных у нас есть информация о более 80 диагностических клиник СПб и Ленинградской области.
Источник
Исследование груди при помощи МРТ чаще проводится с целью выявления всевозможных новообразований в молочных железах.
В сравнении с другими диагностическими методами МР-томография в этой области в 2 раза эффективнее: доля обнаружения патологических очагов в тканях груди при МРТ составляет 90%, при маммографии в комбинации с ультразвуковым исследованием (УЗИ) – до 45%.
Врачи рекомендуют проходить ежегодно МР-обследование молочных желез женщинам с высоким риском развития онкологической патологии:
- При обнаружении у самой женщины или ее ближайших родственниц (матери, дочери, сестры) генов, отвечающих за рост раковых клеток (BRCA 1 или BRCA 2);
- Если женщине проводилась радиотерапия (облучение) по поводу злокачественных заболеваний в раннем возрасте;
- При наличии других факторов риска развития рака молочных желез (наследственные синдромы Кауден или Ли-Фраумени).
Онкологи в обязательном порядке назначают МРТ молочных желез пациенткам с опухолью в одной груди для того, чтобы выяснить, не поражена ли раком вторая железа. Магнитно-резонансная томография без хирургического вмешательства и просвечивания рентгеном дает детальное изображение внутренних структур молочных желез и кровеносных сосудов, позволяет обнаружить даже маленькие (до 3-5 мм) очаги патологической ткани на самых ранних этапах развития.
МРТ с контрастом
МРТ молочных желез может проводиться с контрастированием и без. Контраст (гадолиний – гипоаллергенное окрашивающее вещество) применяется для визуализации сосудистой сети железы. Раковые очаги усиленно кровоснабжаются, что хорошо видно на снимках МРТ.
Обследование без контраста проводится для определения плотности ткани и изучения структуры молочных желез.

Показания для МРТ молочной железы
МРТ груди назначается не только при подозрении на онкологию. Маммолог может направить женщину на это обследование для:
- определения состояния молочных желез и целостности силиконовых имплантатов;
- дифференциальной (сравнительной) диагностики доброкачественных образований при неэффективности других исследований;
- наблюдения за динамикой после проведенного противоракового лечения;
- диагностики любых других заболеваний молочной железы у беременных и при наличии противопоказаний к рентгенографии;
- выявления различных патологий при плохой визуализации другими методами (разрастание рубцовой ткани после операции или травмы).
Нередко результаты УЗИ или маммографии не дают настолько полной информации, чтобы удовлетворить женщину – успокоить или сподвигнуть к определенным действиям. Поэтому многие пациентки приходят на обследование без направления врача, по собственной инициативе.
Важно! У женщин, проходящих МРТ груди раз в год, возможность летального исхода от онкологии сводится к минимуму.
Противопоказания
Несмотря на то, что МРТ является безопасным методом, у этой процедуры имеются противопоказания. Абсолютные и относительные – состояния, при которых МРТ категорически запрещается, и состояния преодолимые, т. е. при грамотно проведенной подготовке обследование становится возможным.
Абсолютные противопоказания
- Наличие металлических предметов в организме пациентки (имплантаты, клипсы, брекеты и др.): воздействие магнитного поля может спровоцировать их движение и вызвать внутреннее кровотечение или другие негативные последствия.
- Гиперкинез (непроизвольные движения), судороги, мышечные спазмы: больная должна соблюдать в течение всей процедуры полную неподвижность, иначе результат обследования может быть неточным (снимки получатся размытые, смазанные).
- Аллергия на контрастное вещество: гадолиний (внутривенный контраст) редко вызывает аллергические реакции, но при индивидуальной непереносимости его введение строго запрещено – вещество может вызвать развитие аллергии различной степени тяжести, вплоть до анафилактического шока.
- Хроническая почечная недостаточность или другие заболевания мочеполовой системы: контрастное вещество может спровоцировать обострение болезни, так как его вывод из организма осуществляется через почки.
- Наличие кардиостимулятора или инсулиновой помпы: воздействие магнитных волн способно повлиять на стабильную работу аппарата.
- Тучность пациентки: вес более 120-150 кг препятствует проведению процедуры, так как диаметр МРТ-капсулы не соответствует объему талии женщины.
Относительные противопоказания
- Период беременности и лактации: магнитное поле может оказать негативное влияние на внутриутробное развитие плода, а контрастное вещество, при попадании в грудное молоко, способно вызвать у ребенка аллергию и другие реакции.
- Клаустрофобия: боязнь замкнутого пространства может вызвать у пациента панику и спровоцировать хаотичную двигательную активность.
- Психические расстройства пациентки: возможны различные непредсказуемые реакции на нахождение в МРТ-сканере и проведение медицинских манипуляций.
- Татуировки, нанесенные с использованием красок с примесью металла: в области накожного рисунка возникает чувство жжения. Также может образоваться незначительные повреждения кожного покрова в виде ожога.
Подготовка к исследованию
Специалисты рекомендуют проводить МРТ молочных желез на 8-12 день (в первую фазу) менструального цикла.
В это время у женщины в молочных железах отечность и инфильтрация вокруг крупных протоков отсутствуют (в отличие от предменструального периода), поэтому результат обследования будет более информативный. Если наступила менопауза, то подойдет любое другое время.
При необходимости врач назначит соблюдение особого пищевого режима или ограничит прием некоторых лекарственных средств.
Технология проведения
Перед началом проведения диагностики пациентка снимает с себя все предметы, которые изготовлены из металла (украшения, пирсинги, заколки, часы и т. д.).
Во время процедуры больная лежит на животе на подвижной кушетке томографа (для молочных желез в ней предусмотрены специальные отверстия). Длительность процедуры составляет от 30 минут до 1 часа, поэтому женщине необходимо удостовериться, что поза выбрана удобная, и что во время сканирования у нее не возникнет желания пошевелиться.
При проведении МРТ молочной железы с контрастированием через внутривенный катетер медсестра вводит контрастное вещество. Для диагностики рака это обязательная манипуляция. При поступлении контраста в кровь пациентка может испытать холод или небольшой жар, разливающийся по ходу вены.
Для обеспечения наибольшего комфорта и защиты слуха от шумовых эффектов работающего аппарата (гул, щелчки, потрескивания) предусмотрено использование наушников.
Стол перемещается непосредственно в кольцо МР-томографа, где и происходит сканирование. В обследуемой области женщина может ощущать жжение или покалывание. Эти признаки считаются нормой. При возникновении непредвиденных ситуаций, сильных болевых ощущений или резкого ухудшения состояния пациентка может сообщить об этом врачу через встроенную систему обратной связи.
Побочные эффекты
Явных побочных эффектов после МРТ молочных желез не наблюдается. Очень редко (в 1% случаев) некоторые пациенты после процедуры с контрастированием испытывают слабость, тошноту, головокружение, зуд в месте установки катетера.
Важно помнить, что если пациентка — кормящая мать, и ей вводят контрастное вещество, то от грудного вскармливания ребенка стоит воздержаться на 48 часов.
Результаты исследования
Заключение с результатом МРТ молочных желез пациентке выдается на руки в течение получаса после процедуры. В описании врач указывает выявленные изменения в груди больной, характер и степень их распространения, локализацию (месторасположение), точные размеры очага, другие параметры и сведения, заключительный диагноз. По данным обследования лечащий врач прогнозирует дальнейшее развитие заболевания и планирует наиболее эффективную схему лечения.
Диагностика с контрастным веществом:
- выявляет наличие патологических процессов в груди;
- устанавливает размер и точное месторасположение новообразования;
- определяет размеры лимфатических узлов;
- определяет степень злокачественности опухоли.
Диагностика без контрастного вещества:
- определяет плотность молочных желез;
- изучает состояние млечных протоков;
- выявляет образования в виде кист;
- обнаруживает гематомы;
- определяет разрывы имплантатов и степень повреждения окружающих тканей.

Альтернативные методы исследования
Проведение МРТ молочных желез в комплексной диагностике различных заболеваний целесообразно и желательно, так как:
- МРТ отлично визуализирует мягкие ткани органа, намного лучше, чем КТ, рентгенография и УЗИ;
- в МРТ отсутствует ионизирующее облучение, которое применяется в рентгенографии и компьютерной томографии;
- МР-сканирование позволяет получить наиболее полную и четкую картину, в отличие от маммографии, которая менее информативна;
- МРТ дает возможность изучить орган как снаружи, так и изнутри (в ультразвуковой диагностике возможно только оценка состояния внешней оболочки);
- МРТ позволяет определить наличие даже небольших образований (в отличие от маммографии).
Возможность же многократного повторения и отсутствие негативного воздействия на организм женщины делает этот вид исследования наиболее востребованным в современной диагностике.
Источник


В медицинских центрах МРТ молочных желез с динамическим контрастным усилением становится лидирующим методом верификации рака груди. В этой статье мы поговорим о эффективности лучевых методов диагностики в выявлении онкологических заболеваний груди и диагностических способностях магнитно-резонансной томографии при онкопоиске и онковалидации. Рак молочной железы (РМЖ) — одна из наиболее актуальных проблем современной онкологии. За последние годы рак молочной железы прочно заниял первое место среди злокачественных опухолей у женщин. Заболеваемость раком этой локализации за последние 20 лет увеличилась на 40% и отмечается дальнейшая тенденция его роста. Показатели смертности в РФ от различных форм РМЖ остаются высокими, составляя почти 50% от числа больных.

Бесплатная консультация о диагностике
Если сомневаетесь, запишитесь на бесплатную консультацию
или проконсультируйтесь по телефону
+7(812) 209-10-39
Методы диагностика рака молочных желез
Ранняя диагностика рака молочной железы имеет принципиальное значение для определения дальнейшей тактики последующего лечения. Обычно диагностика рака груди (РМЖ) основывается на данных трех основных методов — клинического, радиологического и патоморфологического. Клиническое обследование включает в себя мануальную пальпацию молочных желез и лимфатических узлов. Эффективность клинической диагностики пальпируемых форм рака молочной железы составляет 80%. Но небольшие опухоли до 2 см в диаметре, расположенные глубоко в ткани молочной железы, близко к грудной стенке труднее поддаются клинической диагностике. Для достижения лучших диагностических результатов возникает необходимость использования аппаратные методик. К аппаратным радиологическим методам относят маммографию и ультразвуковое исследование молочных желез. Наряду с традиционными рентгеновским и ультразвуковыми методами с появлением мощных томографов 1,5 Тесла и выше в практику врачей прочно вошла магнитно-резонансная томография как высокоточный и крайне результативный способ неинвазивного и безболезненного обследования. Она обладает высокой чувствительностью в выявлении злокачественных поражений молочной железы.
Покажет ли МРТ рак груди
Проблема в выявлением рака молочной железы на МРТ заключается в том, что опухоли молочной железы обладает практически той же протонной плотностью, что и собственные, здоровые ткани молочной железы. Это обстоятельство существенно снижает возможности бесконтрастной МРТ груди, делая её чувствительной примерно 40% случаев. Это по точности сопоставимо с клиническим обследованием. Поэтому в медицинских центрах при подозрении на онкологию МРТ молочных желез без контрастирования не проводится. Введение контрастного усиления является обязательным условием успешного онкопоиска. По данным литературы, чувствительность МРТ молочных желез с использованием динамического контрастного усиления в диагностике инвазивных злокачественных поражений составляет 98% в то время как специфичность МРТ молочных желез с использованием стандартных бесконтрастных протоколов не превышает 60%.
Идея контрастирования, используемая в МР маммографии, базируется на теории опухолевого возникновения. Суть её заключает в том, что патологические сосуды с измененной клеточной структурой появляются в опухоли при размерах её уже 12 кубических миллиметров. Эти сосуды в первую очередь обеспечивают питание опухоли за счет обкрадывания окружающих тканей. Они также создают условия метастазирования через кровь. Принцип МРТ молочных желез с контрастом использует эти свойства опухали. Если питательные вещества в первую очередь попадают в новообразование, то и контрастное вещество поведет себя также. Наблюдая за ходом накопления тканями груди контрастного препарата, врачи могут сделать точные выводы о доброкачественности или злокачественности опухоли, ее размерах и локации, а также степени поражения соседних тканей и органов. Таким образом МРТ молочных желез позволяет точно диагностировать формы рака молочной железы и уточненить степень местной и регионарной распространенности рака.
Биопсия молочных желез под контролем МРТ
Но каким бы не было заключение врача-рентгенолога решающим в судьбе пациента с подозрением на рак молочной железы является морфологические пробы с помощью биопсии. Для того, чтобы прокол произошел в правильном месте, и на пробу был взять нужный биоматериал, врачам также понадобятся результаты МРТ или маммографии. Уже сейчас современные технологии позволяют совместить томографическое исследование с биопсией. Если медицинский центр оборудован открытой маммологической катушкой, то возможно совмещение МРТ молочных желез с биопсией — так называемая процедура биопсии под контролем МРТ.
Что делать, если необходимо провести дополнительный анализ снимков МРТ?
Предлагаем Вам запись на услугу экспертное заключение по снимкам МРТ
Мы подберем Вам клинику, где опытные врачи проведут расшифровку МРТ онлайн по имеющимся у Вас снимкам и предоставят свое экспертное заключение по вероятности и точности первичного диагноза. Закажите услугу МРТ второе мнение онлайн, и МРТ снимки оценят ведущие специалисты в Санкт-Петербурге, Москве и зарубежом!

Как проходит томография груди при РМЖ
Сделать каечтвенную МРТ груди можно диагностическом центре, оборудованным высокопольным томографом мощностью не менее 1,5 Тесла и выше. Такая томография в зависимости от целей обследования проводят с применением контрастного вещества или нативно, то есть бесконтрастно. Особой подготовки нативное МР-исследование от пациента не требует. Для томографии с контрастированием нужно за 2 часа до процедуры отказаться от еды. Это позволит практически совсем снизить риски тошноты или рвоты при введении препарата.
При МРТ молочных желез по протоколу онкопоиск применяют специальную методику динамического контрастного усиления. Тогда в ходе процедуры сначала производится сканирование без контраста. Затем болюсно с помощью инжектора вводится контрастное вещество в венозное русло пациента. После этого сразу начинается томографическое сканирование с определенным промежутком времени, в результате чего получается серия пост-контрастных изображений. Серии снимков врачам нужна для того чтобы оценить динамику контрастирования. Для этого врачи с помощью программного обеспечения выстраивает на компьютере томографа специальные графики. По типу кривой он может судить о злокачественности или доброкачественности образования в груди. Среднее время магнитно-резонансного исследований груди в зависимости от задач составляет 20-40 минут.
Признаки рака на МРТ молочных желез
 Злокачественные и доброкачественные образования молочных желез имеют характерные MP-маммографические признаки, позволяющие проводить их дифференциальную диагностику. В заключении по результатам томографии врач может отметить выявленные:
Злокачественные и доброкачественные образования молочных желез имеют характерные MP-маммографические признаки, позволяющие проводить их дифференциальную диагностику. В заключении по результатам томографии врач может отметить выявленные:
- очаги контрастирования — очень мелкие участки поражения размером меньше 5 мм;
- контрастирования образования — это уже объемное поражение с выпирающим контуром;
- зоны контрастирования- участка ткани, который не является образованием или очагом с отрезками нормальной ткани или жира.
Также данные томографии помогают врачам стадировать рак и принять решение об эффективной терапии.
Признаками рака груди на снимках станет:
- наличие объемного образования с нечеткими контурами;
- наличие тканевой перестройки вокруг образования;
- поражения метастазами соседних органов;
- накапливание контрастного препарата сосудами опухоли;
- кольцевидный вид накопления контрастного вещества;
- быстрое поступление контраста и беспрепятственное его вымывание из опухоли.
Список литературы:
- П.Качанова Т.Н. Магнитно-резонансная томография молочных желез. // Дис. . докт. мед. наук. М., 2000
- Пынзарь В А., Емельянов С.И., Нечушкин М:И., Уйманов В!.А. Рак молочной железы у пожилых женщин. Современное состояние проблемы. Вестник РОНЦ им. Н.Н.Блохина РАМН 2006
- Араблинский В.М. Оптимальный диагностический комплекс в ранней диагностике рака молочной железы. М., 1991.
- Зондерланд Г.М. Ультразвуковое исследование молочной железы. //Маммология. 1995. — № 1
- Моисеенко В.М. Кинетические особенности рака молочной железы и иэс значение для обоснования раннего выявления и лечения. Автореф. дис. докт. мед. наук. С-П.; 1994
- Насруллаен М.Н., Бахтиозин Р.Ф.,Чувашаев KP., Хамзина Ф.Т. Комплексная лучевая диагностика заболеваний молочных желез //Магнитный резонанс в медицине. Казань. — 1997
- Andersson I. Introduction to Mammography. A Nicer Publication. — 1992.
- Brener R. J., Shellock F.G., Rothman B. J., Giuliano A. Technical note: magnetic resonance imaging guided pre-operative breast localization using freehand technique //Br. J. Radiol. — 1995. — 68. 
- The variability of fibroadenoma in contrast enhanced dynamic MR mam-mography//AJR. 1997.- 118.
- Трапезников H.H., Аксель Е. М. Статистика рака молочной железы. //Новое в терапии рака молочной железы. М., 1998.
- Bauer M, Schuiz Wendland R., Kramer S., Buttner A. MR mammography for evaluation of breast cancer and tumor environment //ERC 95. Vienna. -Austria.-1995.
Дополнительная информация
Источник
