На какой день цикла делать мрт при эндометриозе

![]()
Магнитно-резонансная томография применяется для выявления генитального и экстрагенитального эндометриоза. Гинеколог назначает МРТ при эндометриозе с целью получить информацию об очагах данного заболевания и степени его распространения.
Где располагаются очаги эндометриоза и что это вообще такое
Под эндометриозом понимают гинекологическое заболевание, при котором происходит разрастание эндометриоидных клеток внутри и вне полости матки.
Очаги эндометриоза могут наблюдаться в следующих зонах:
- мышечные стенки матки;
- шейка матки;
- влагалище;
- маточные трубы;
- яичники;
- крестцово-маточные связки;
- стенки мочевого пузыря;
- прямая кишка;
- стенки брюшной полости.

Для чего проводят МРТ малого таза при эндометриозе
МРТ органов таза проводится для диагностики эндометриоза и позволяет с точностью до 98% установить очаги распространения заболевания, а также уточнить стадию развития эндометрия. Данное обследование позволяет избежать инвазивных методов исследования благодаря своей информативности. От точности томограммы будет зависеть лечение.
Показания для направления на обследование
МРТ малого таза проводится по направлению врача. Для проведения данного вида обследования могут быть разные показания:
- Уточнение диагноза. В некоторых случаях лабораторные и инструментальные методы исследования не дают четкой картины заболевания.
- Неспособность женщины на протяжении длительного времени забеременеть.
- Сильные болевые ощущения при менструации. Боль может наблюдаться не только в матке, но и во всей нижней части живота, пояснице, кишечнике.
- Дискомфорт и боль при половом акте.
- Кровянистые выделения в середине менструального цикла.
- Кровянистые включения в моче и кале при наступлении менструации.
- Уплотнение в стенках матки, обнаруженное гинекологом при пальпации.
Противопоказания
МРТ имеет ряд противопоказаний. При этом различают абсолютные противопоказания, при которых нельзя делать МРТ, и относительные противопоказания, позволяющие делать МРТ после предварительной подготовки.
Абсолютные противопоказания:
- наличие у пациента электронных и металлических устройств в организме (кардиостимуляторы, инсулиновый инжектор, слуховые аппараты, клипсы, стенты, винты);
- металлические осколки, попавшие в организм человека в результате травм;
- беременность;
- аллергия на все виды лекарств, а также аллергия на контрастное вещество, применяемое при МРТ;
- ряд заболеваний: почечная недостаточность, печеночная недостаточность, бронхиальная астма в тяжелой форме, диабетическая гломерулопатия;
- проведение КТ с контрастным веществом менее чем 24 часа назад.

Относительные противопоказания:
- боязнь закрытых пространств;
- неконтролируемые непроизвольные движения тела пациента;
- сильный болевой синдром.
Подготовка к исследованию
Следует учитывать день менструального цикла женщины, если исследование проводится с целью увидеть эндометриоз на МРТ. Рекомендуется проводить обследование с 6 по 12 дни цикла, т.к. в этот период эндометриоидные включения визуализируются наиболее четко.
В день проведения МРТ женщине следует провести ряд процедур:
- при проблеме со стулом необходимо сделать клизму накануне обследования;
- необходимо принять лекарство, помогающее снизить газообразование в кишечнике;
- необходимо принять спазмолитики, например дротаверин;
- воздержаться от опорожнения мочевого пузыря за 2 часа перед МРТ, но не принимать лишнюю жидкость с целью наполнить мочевой пузырь;
- необходимо оставить за пределами процедурного кабинета все лишние предметы, такие как очки, украшения, телефон, ключи и т.д.
Методика проведения МРТ органов малого таза
МРТ органов таза проводится на высокопольных томографах. Пациент ложится на специальный стол, который задвигается в узкое пространство томографа. Находясь под магнитом, пациент может услышать тихий шум. Длительность обследования составляет от 25 до 60 минут. В перерывах между радиочастотными импульсами томографа пациенту разрешаются легкие движения. Об этом ему сообщает врач посредством звуковой системы связи. Пациент при необходимости может воспользоваться кнопкой связи. Результаты обследования выдаются в виде снимков и цифровой записи на электронных носителях.
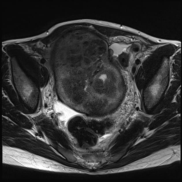
Что видно на снимках интерпретация результатов
После МРТ органов малого таза врач-рентгенолог анализирует полученное изображение и дает заключение о выявленных патологиях. Если в ходе обследования обнаружены очаги эндометриоза, специалист отмечает их локализацию, стадию развития, патологические процессы и осложнения. Визуализируются 4 стадии эндометриоза при МРТ.
- Начальная стадия, для которой характерно небольшое утолщение стенок матки, изменения маточных труб, яичников. Благодаря тому, что томограф делает множественные снимки, толщина которых не превышает 1 мм, врач может увидеть малейшие отклонения показателей от нормы и определить поражение тканей эндометриоидными клетками.
- Вторая стадия характеризуется появлением мелких кист в мышечной ткани матки, яичниках.
- Третья стадия характеризуется утолщением стенок матки, мышечная структура органа становится неоднородной, четко визуализируются опухолевые очаги.
- Четвертая стадия является самой опасной для здоровья, т.к. патологический процесс может затрагивать влагалище, мочевой пузырь, кишечник и полость брюшины. МРТ фиксирует множественные кисты, узлы, спайки. Структура стенок органов малого таза визуализируется неоднородной, с многочисленными эндометриоидными включениями.

Врач-рентгенолог сравнивает полученные показатели с показателями нормы и выносит заключение о стадии развития эндометриоза. Гинеколог, изучив томограмму, сможет поставить правильный диагноз и исключить возможность злокачественной опухоли эндометрия матки.
Альтернативные методы исследования
Помимо МРТ, эндометриоз определяют и другие исследования:
- Консультация и осмотр у гинеколога. Врач собирает анамнез, проводит пальпацию матки и яичников. При помощи зеркал проводит осмотр тканей влагалища и шейки матки, что дает возможность уже на данном этапе выявить очаги эндометриоза. После этого для подтверждения диагноза врач дает направление на дополнительные анализы и обследования.
- Общий анализ крови показывает наличие или отсутствие воспалительных процессов в организме женщины. При эндометриозе показатели лейкоцитов, белка будут завышенными.
- Анализ крови на онкомаркеры. При эндометриозе наблюдается повышение показателя такого маркера, как СА 125. В норме он не должен превышать 35 МЕ/мл.
- При трансвагинальном ультразвуковом исследовании определяется поражение стенок матки эндометриозом, визуализируются эднометриоидные кисты, а также начавшийся спаечный процесс. Но данный вид обследования не позволяет оценить степень распространения эндометриоза на органы малого таза.
- Лапароскопия, гистероскопия проводятся при помощи специальных инструментов – лапароскопа и гистероскопа соответственно. Лапароскоп – оптический прибор, который позволяет увидеть распространение эндометриоза внутри организма женщины. Лапароскоп вводится внутрь живота через небольшие разрезы. Данный метод считается менее травматичным, чем полостная операция. Гистероскоп позволяет специалистам исследовать стенки матки, устья маточных труб.
- Биопсия тканей матки. Необходимый биоматериал берется в начале менструального цикла. Процедура проводится в амбулаторных условиях. Для взятия ткани используется специальный инструмент – трубка с поршнем. Женщина не чувствует боли, т.к. процедура предполагает использование местной анестезии. Биопсия может быть взята и при лапароскопическом обследовании.
- Компьютерная томография выявляет очаги эндометриоза, показывает степень включения органов таза в патологический процесс.
- Кольпоскопия – оптическое обследование шейки матки и влагалища с применением йодсодержащих препаратов.
Данные исследования не дают гарантии постановки точного диагноза. Магнитно-резонансная томография является наиболее точным обследованием и служит для определения дальнейшей тактики лечения.
Оценка статьи:
(Пока оценок нет)
Загрузка…
Источник
В ходе МРТ матки и яичников у женщин нередкой находкой врачей является эндометриоз. Это патологическое разрастание эндометрия за пределами матки на фоне гормональных расстройств. Источник заболевания может локализоваться как в толще матки, так и в яичниках, трубах, брюшине. В ходе менструального цикла пораженный орган может увеличиваться в объеме, в результате чего у пациентки появляются кровянистые выделения. По статистике медицинских центров СПб эндометриоз занимает третье место в структуре гинекологической заболеваемости после воспалительных заболеваний, миом матки и поражает да 17% женщин репродуктивного возраста. В медицине принято выделять две формы эндометриоза по локации:
- генитальная форма;
- экстрагенитальная форма.
Порядка 90 % всех диагностируемых случаев — это генитальные формы эндометриоза.
БЕСПЛАТНАЯ
КОНСУЛЬТАЦИЯ О ДИАГНОСТИКЕ
Если сомневаетесь, запишитесь на бесплатную консультацию.
Или проконсультируйтесь по телефону
+7 (812) 209-00-79
Перезвоните мне
Симптомы эндометриоза
Клинические симптомы эндометриоза будут зависеть от места локации новообразования. Женщина может испытывать:
- болезненную менструацию;
- ноющие боли внизу живота;
- дискомфорт при половом акте;
- кровотечения из влагалища между циклом;
- слизистые выделения с кровью;
- увеличение размеров половых органов.
Эндометриоз может служить первопричиной появления кист. У женщин репродуктивного возраста зачастую бесплодие является последствием эндометриоза.
Диагностика внутреннего эндометриоз на МРТ
Существует такое понятие как внутренний эндометриоз. Его называют аденомиоз. Характеризуется это заболевание проникновением в мышечный слой эндометрия. Такое заболевание дает о себе знать следующей симптоматикой: у женщины появляется ярко выраженная боль, которая усиливается во время менструации, выделения становятся более обильные, во время полового акта чувствуется дискомфорт или болевые ощущения. Причиной аденомеоза считается нарушение гормонального фона или наследственность. Диагностика внутреннего эндометриоза возможна с помощью УЗИ и МРТ органов малого таза. Томографию применяют в основном как дополнительный метод, когда аденомиоз сопряжен с опухолевым заболеванием или сильным разрастанием. На МРТ при внутреннем эндометриозе хорошо визуализируется увеличенная матка и в мышечном слое патологические изменения тканевого характера.
Покажет ли МРТ эндометриоз
В последние годы ранняя диагностика эндометриоза шагнула вперед, в частности и благодаря тому, что выросли диагностические возможности УЗИ аппаратуры и в диагностическую практику гинеколог прочно вошла МРТ матки и яичников. Чтобы безошибочно диагностировать эндометриоз важно пройти обследование МРТ органов малого таза на высокопольном аппарате мощность не менее 1.5 Тесла. В ходе томографического исследования врач посмотрит важные параметры состояние матки, яичников и придатков. Во-первых, по данным томографии диагност оценит положение матки. В норме матка должна быть наклонена немного вперед, но бывают отклонения назад, что является особенностью женщины, а не патологией, но к сожалению, есть риск усложнения естественного процесса родов. Следующим важным параметром будут являться размеры матки. В норме ее длинна должна составлять 7 см, ширина 6 см, переднезадний 4,2 см. Меньшие размеры матки на МРТ укажут врачу на недоразвитие половых органов у женщины, а большие скажут о беременности или укажут на опухолевые процессы.
Неоднородные очаги стенок матки являются признаком патологии и могут свидетельствовать об эндометриозе или наличии полипа матки. В нормальном состоянии стенки матки имеют однородную структуру, а вот толщина может меняться с 5 мм до 20 мм. Это зависит от менструального цикла. В ходе МРТ малого таза врач измерит длину шейки матки, которая не должна превышать 4 см, переднезадний размер должен соответствовать 3 см. Параметры канала так же не должны превышать 3 мм. Увеличение размеров шейки матки на МРТ — это признак эндометриозе или опухоли. Затем по данным МРТ врач оценить маточные трубы и позадиматочное пространство, количество свободной жидкости, которое может иметь место только после процесса овуляции, в середине цикла. В завершении диагност пристально изучит состояние яичников и придатков с целью выявить возможные очаги эндометриоза яичников и увидеть признаки симптома “целующихся яичников”. Также в рамках МРТ малого таза у женщин проводится диагностика состояния брюшины и прямой кишки, чтобы исключить возможность эндометриоза брюшины.
Подготовка к МРТ малого таза при эндометриозе
Успешное МРТ органов малого таза требует несложной подготовки от женщины. Нужно исключить из рациона питания за 2-3 дня все продукты, приводящие к повышенному газообразованию, и прийти на томографию с умеренно наполненным мочевым пузырем. Очень важно сделать МРТ при эндометриозе на 14-16 день менструального цикла. Тогда данные сканирования будут максимально информативны. Следует также помнить, что МРТ яичников и матки не проводят женщинам в дни менструации.
Лечение эндометриоза
В зависимости от процесса, места нахождения эндометриоза и возраста пациентки, врачи могут назначать как консервативное лечение, так и принять решение в пользу удаления. Основной способ лечения внутреннего эндометриоза — это назначение гормонотерапии. Оперативное вмешательство осуществляется только при сложных случаях.
Где сделать МРТ матки и яичников при эндометриозе в клиниках СПб
Список первоисточников
- Адамян Л.В. Эндометриозы: Руководство для врачей / Л.В.Адамян, В.И. Кулаков. М., 1998. — 317 с.
- Андреева E.H. Распространенные формы генитального эндометриоза: медико-генетические аспекты, диагностика, клиника, лечение и мониторинг больных: Автореф. дис. .д-ра мед. наук. М.,1997. -333с.
- Баскаков В.П. Диагностика и лечение эндометриоза на современном этапе / В.П. Баскаков, Ю.В. Цвелев, Е.В. Кира. СПб, 1998. — 198 с.
- Новый взгляд на природу эндометриоза (аденомиоза) / Сидорова И.С., Коган Е.А., Зайратьянц О.В. и др // Акуш. и гин. 2002. — №3. — С.32-38.
Волков Н.И. Патогенез бесплодия при наружном генитальном эндометриозе.// Проб, репрод. 1999. — № 2. — С. 56-58.
- Абашова Е.И., Григорьева В.В., Рулев В.В., Сельков С.А. Эндометриоз и гипофункция яичников.//Пробл. Эндокринол. в акуш. и гинек. Материалы II съезда Российской ассоциации врачей акуш.-гинекол./ Ред. В.Н. Карев. М.: Academia, 1997. — С. 20-21.
- Thalluri AL, Knox S, Nguyen T. MRI findings in deep infiltrating endometriosis: A pictorial essay. J Med Imaging Radiat Oncol. 2017;61(6):767-773.
- Guerriero S, Saba L, Pascual MA, et al. Transvaginal ultrasound vs magnetic resonance imaging for diagnosing deep infiltrating endometriosis: systematic review and meta-analysis. Ultrasound Obstet Gynecol. 2018;51(5):586-595.
- Charpentier E, Petit E, Beranger S, Azarine A. Presumption of pericardial endometriosis using MRI: Case report and review of the literature. J Gynecol Obstet Hum Reprod. 2019;48(1):71-73.
Стрижаков А.Н. Эндометриоз. Клинические и теоретические аспекты / А.Н. Стрижаков, А.И. Давыдов. -М., 1996. 186 с.
Полезная информация

МРТ при беременности
Можно ли делать МРТ при беременности — любая беременная женщина, столкнувшись с необходимостью, спрашивает себя об этом, а также её волнует, как диагностика подействует на малыша. Поэтому важно, отбросив все мифы и предрассудки, понять суть работы магнитно-резонансного томографа, а также разобраться в плюсах и минусах данной диагностической методики. Об этом и пойдет речь в этой статье.
читать далее +

Что покажет МРТ пояснично-крестцового отдела
МРТ пояснично-крестцового отдела выполняется на современном высокотехнологичном аппарате – томографе, который сводит риск ошибок и неточностей при постановке диагноза к нулю. Диагностику поясницы в МРТ-центрах СПб можно пройти на установках открытого или закрытого типа. Закрытый томограф представляет собой мобильную кушетку, на которой располагается пациент, и конструкцию цилиндрического вида с встроенным магнитом, внутри которой и
читать далее +

Что показывает МРТ малого таза
МРТ органов малого таза является приоритетным методом диагностики многих заболеваний мочеполовой системы мужчины и женщины. У женщин посредством МР-сканирования хорошо определяются: рак шейки матки, яичников дисфункция почек эндометриоз, фибромиомы аномалия мочевого пузыря врожденные патологии репродуктивных органов. У мужчин томографическое исследование хорошо показывает:
читать далее +
Источник
Диагностика эндометриоза в медицинских центрах СПб включает в себя несколько методов:
- осмотр врача-гинеколога;
- УЗИ органов малого таза;
- рентгеновская гистеросальпингография (РГСГ);
- МРТ органов малого таза у женщин.
Эндометриоз занимает 3-е место по заболеваемости после воспалительных патологий и миомы матки и поражает до 17% женщин репродуктивного возраста. Он также является основной причиной хронических тазовых болей у женщин и репродуктивных проблем. Генитальный эндометриоз диагностируется у 7-50% женщин детородного возраста. Бесплодие при генитальном эндометриозе составляет 47,8%, а частота самопроизвольного прерывания беременности достигает 50-86%.
Актуальность ранней диагностики эндометриоза растет с каждым годом. В РФ за последнее десятилетие на 100 тысяч женского населения показатель заболеваемости эндометриозом увеличился на 36,2%. Ввиду неспицифичной клинической симптоматики и прогрессирующего развития женщины достаточно долго ходят с хроническими тазовыми болями без диагноза. По статистике, в среднем до постановки диагноза проходит 5–12 лет после долгих обследований. С появлением в практике гинекологов СПб МРТ органов малого таза значительно сократились сроки постановки диагноза.
Виден ли эндометриоз на МРТ?
При подозрении на эндометриоз МРТ малого таза необходимо проводить на аппаратах с индукцией магнитного поля не менее полутора Тесла. К сожалению, аппаратура с меньшей силой поля не позволяет полноценно обследовать матку, влагалище и яичники женщины. Признаки эндометриоза на МРТ будут видны и на нативном, бесконтрастном обследовании. В ходе МРТ малого таза можно обнаружить:
- генерализованный эндометриоз;
- эндометриоз яичников;
- ретроцервикальный эндометриоз.
На какой день цикла делают МРТ при эндометриозе?
Успешность диагностики эндометриоза на МРТ во многом зависит от правильной подготовки пациентки. Это обследование обязательно проводится натощак (как минимум 5 часов голодания). Пациенту нужно опорожнить мочевой пузырь за 1 час до исследования и принять ингибиторы перистальтики кишечника (но-шпа, глюкагон). Сделать МРТ органов малого таза при подозрении на эндометриоз лучше всего на 5-7 день менструального цикла.
| Исследование (Что входит) | Цена | Цена на МРТ 3 ТЛ | Скидки |
|---|---|---|---|
| МРТ грудной клетки (легкие, бронхи, плерва, средостения, лимфатические узлы) | от 3300 руб. | от 7500 руб. | — |
МРТ сердце и коронарных артерий / МР-коронарография | от 6000 руб. | от 9500 руб. | — |
| МРТ брюшной полости и забрюшинного пространства (печень, желчный пузырь, поджелудочная железа, селезенка, почки, надпочечники) | от 3300 руб. | от 7000 руб. | Ночью |
| МРТ брюшной полости с МР-холангиогафией | от 6000 руб. | от 9600 руб. | — |
| МРТ малого таза (предстательная железа/ матка и яичники, мочевой пузырь, прямая кишка) | от 3300 руб. | от 7000 руб. | Ночью |
| МРТ полового члена и мошонки | от 4000 руб. | от 7000 руб. | Ночью |
| МРТ плода | от 5500 руб. | от 10500 руб. | Ночью |
| МРТ участка аорты | от 5145 руб. | от 8500 руб. | — |
| МР урография / МРТ мочевыводящих путей | от 3300 руб. | от 9500 руб. | Ночью |
| МРТ тонкого или толстого кишечника | от 4000 руб. | от 7500 руб. | Ночью |
| МРТ всего тела/ Онкопоиск/ Диффузионная | от 11000 руб. | от 42000 руб. | — |
| МРТ внутренних органов с контрастом | от 5800 руб. | от 9500 руб | — |
Что покажет МРТ при эндометриозе?
МРТ при эндометриозе обычно не является первичным методом обследования и проводится при неоднозначных результатах УЗИ или объективных затруднениях при ультразвуковом обследовании. Это может быть:
- вовлечение ректовагинальной перегородки;
- перитонеальные формы эндометриоза.
С помощью магнитно-резонансного исследования врач может:
- провести оценку степени распространенности поражения, рубцово-спаечного процесса;
- прогнозировать возможность сохранения детородной функции при дальнейшей реконструктивно-пластической операции;
- оценить образования яичников кистозно-солидной структуры;
- определить глубину инфильтрации эндометриоидного очага в стенку мочевого пузыря и толстой кишки.

Автор:Сысоева Елена Михайловна
Специализация: Врач-рентгенолог
Где ведет прием: ЦМРТ
КАК ПРОВЕРИТЬ,ЧТО ВАМ КАЧЕСТВЕННО СДЕЛАЛИ МРТ?
- МРТ снимки должны быть записаны в формате DICOM на любой электронный носитель. Изображения, распечатанные только на пленке, малоинформативны и не позволят врачам провести детальную оценку результатов диагностики в сложных или спорных случаях.
- Максимальный шаг сканирования качественной МРТ составляет не более 2-4 мм. Перед началом обследования уточните у врача, какой шаг выставлен в диагностической программе на компьютере томографа.
- При онокопоиске МРТ исследование в большинстве случаев должно быть выполнено с контрастным усилением на аппарате мощностью не менее 1.5 Тесла. Особенно это важно при диагностике опухолей молочных желез, органов малого таза и брюшной полости.
- Качественные МРТ снимки не должны быть испорчены артефактами от металла и движения. Если есть изображения с эффектом “засвета” требуйте, чтобы обследование провели повторно!
Список источников:
- Печеникова В.А., Дурасова Е.Н. Клинико-морфологические и морфофункциональные особенности эндометриоза яичников// Журнал акушерства и женских болезней. — 2010. — № 5.
- Баскаков В.П. Клиника и лечение эндометриоза. — 2-е изд.— Л.: Медицина. 1990.
- Беленков Ю.Н., Макацария А.Д., Солопова А.Г., Погребная Г.Н. Первый опыт использования магнитно-резонансной томографии в диагностике гинекологической патологии. // Акушерство и гинекология. 1991.
- Волков В.Г., Рябчикова H.A. Значение и место магнитно-резонансной томографии в современной комплексной диагностике ретроцервикального эндометриоза. // Вестник новых мед. технологий. -1999. -№2.
- Красильников A.B. Ультразвуковое исследование и магнитно-резонансная томография в диагностике гинекологической патологии. // Ультразвуковая диагностика. 1996. — №3.
- Красильников A.B. Ультразвуковое исследование и магнитно-резонансная томография в диагностике гинекологической патологии. // Ультразвуковая диагностика. 1996.
- Стрыгин A.B. Магнитно-резонансная томография матки и придатков при эндометриозе. Автореф. дис. канд. мед. наук -Новосибирск, 2000.
- Щукина Н.А. Современный взгляд на диагностику и лечение эндометриоза // Русский медицинский журнал. — 2014. — № 14.
- 12. Власов В.В. Эффективность диагностических исследований. —М.: Медицина, 1988.
- Фролов М.В., Бычков В.И., Шатов A.B., Хоц С.С., Ерохина М.П. Комплексная диагностика отдельных локализаций генитального эн-дометриоза с применением магнитно-резонансной томографии. //Систем, анализ и упр. в биомед. системах. -2002. -№3.
Последние статьи об МРТ

Что покажет МРТ малого таза
МРТ малого таза (полное название магнитно-резонансная томография) — это детальное, неинвазивное сканирование мочеполовой системы женщины и мужчины. По своей безопасности и безвредности она сопоставима с ультразвуковым сканированием, однако информационная точность и ценность данного обследования в разы выше.

Подготовка к МРТ малого таза у женщин
По подготовке МРТ органов малого таза у женщин – это достаточно простая процедура. Она не требует особых усилий. Обычно во время записи на МРТ органов малого таза пациентка информируется о том, как следует правильно подготовиться к диагностике, какие документы и выписки необходимо взять с собой.

Противопоказания к МРТ
Магнитно-резонансная томография — это безопасное обследование без лучевой нагрузки, но и она имеет ряд противопоказаний в зависимости от модели томографа и протокола обследования — с контрастом или без. Томография нашла широкое применение в нейрохирургической, онкологической, ортопедической и неврологической практике для исследования позвоночника, головного мозга, сосудов, суставов, внутренних органов и мягких тканей.
Источник