Сделали мозга мрт нашли кисту

Субстанция человеческого мозга тонкая и нежная. Любые посторонние образования, будь то опухоль или жидкость, ведут к нарушению функционирования этого органа, порой угрожая жизнедеятельности человеческого организма.
Что такое киста головного мозга и насколько она опасна? Всегда ли необходима операция при кисте головного мозга или можно обойтись без хирургического вмешательства? Эти вопросы беспокоят многих. Ответы на них узнаем у исполнительного директора и главного врача ООО «МРТ Эксперт Липецк» Волковой Оксаны Егоровны.
— Оксана Егоровна, что такое киста головного мозга?
Киста (в переводе с греческого — пузырь) – одно из самых распространённых патологических образований, которое может возникнуть в любом месте нашего организма. Действительно, киста похожа на воздушный шарик, заполненный водой, увеличивающийся по мере поступления жидкости.
Такая патология действительно довольно часто появляется в головном мозге. Если говорить прицельно о кисте головного мозга, то чаще это – полость, заполненная спинномозговой жидкостью (ликвором), омывающей головной и спинной мозг.
Симптомы кисты головного мозга весьма разнообразны и зависят от месторасположения и сдавливания зоны черепной коробки. Однако, в течение долгого времени пузырь, наполненный жидкостью, может не доставлять беспокойства и обнаружиться только при проведении МРТ головного мозга.
Записаться на МРТ головы можно здесь
— Чем киста отличается от абсцесса?
Абсцессы на МРТ выглядят как крупные или мелкие кисты, но заполнены гнойным содержимым и окружённые зоной выраженного отека вещества мозга.
— Какими бывают кисты головного мозга и по каким причинам они возникают?
Кисты подразделяются на врождённые и приобретённые.
Врождённые кисты головного мозга являются результатом нарушения внутриутробного развития оболочек головного мозга. Чаще такого рода кисты локализуются в височных областях, в задней черепной ямке, так называемой пинеальной области (или области эпифиза). Врождёнными бывают и внутрижелудочковые кисты.
Приобретённые кисты, как правило — опухолевые кисты, и в таком случае киста – это «продукт» роста опухоли. Местами локализации таких кист являются доли мозга: лобная, височная, теменная, затылочная; полушария мозжечка.
Приобретённые кисты могут носить и посттравматический характер и возникать после излечения очагов ушиба головного мозга.
Также в своей практике мы встречаемся с кистами, возникающими после инсультов. В этом случае отмечается трансформация ишемического очага. Если ишемический инсульт был обширным и по локализации произошёл ближе к коре, его исходом являются кистозно-глиозные изменения, представляющие несколько мелких или крупных кист, как виноградная гроздь. Отмечу, что подобные изменения могут быть и последствием травм головного мозга, в том числе у детей.
Чем отличаются инсульт ишемический и геморрагический? Узнать здесь
В некоторых районах нашей страны, эндемичных по ряду инфекционных заболеваний, распространены паразитарные кисты, например, эхинококковые. Такие кисты заполнены жидкостью, представляющей продукт жизнедеятельности данного паразита.
— Кистозно-глиозные изменения бывают случайной находкой?
Да, если человек перенёс инсульт «на ногах». Не так давно в наш центр обратилась молодая пациентка, которую в течение трёх недель лечили от гипертонической болезни. Она жаловалась на шаткость походки, головокружение, слабость, головные боли и высокое давление. Участковый врач, решив, что симптоматика указывает на гипертонический криз, назначил соответствующее лечение.
Решение пройти МРТ головного мозга пациентка приняла самостоятельно. Мы выявили достаточно обширную зону недавних кистозно-глиозных изменений, что позволило сделать вывод, что в тот момент, когда у женщины произошёл резкий скачок давления, случился инсульт. Следовательно, и тактика лечения должна была быть иной. От серьёзных последствий пациентку спасло то, что инсульт произошёл в той области мозга, в которой нет жизненно важных центров. Можно сказать, что она «родилась в рубашке». Но так бывает не всегда. Поэтому если вы неважно себя чувствуете – скачет давление, кружится и болит голова, вы испытываете слабость – не тяните с обращением в центр МРТ-диагностики. Основываясь только на симптомах, поставить правильный диагноз зачастую бывает сложно.
— С какими типами так называемых «неопасных кист» головного мозга врачи центров «МРТ Эксперт» сталкиваются чаще всего?
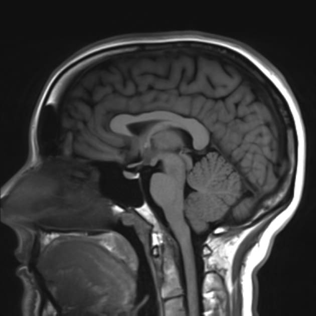
Нередко мы находим у наших пациентов, как вариант врождённых образований, арахноидальные ликворные кисты. На снимках мы видим, что одна из долей мозга больше другой, а свободное место заполнено ликвором. Такие кисты появляются по причине того, что во время внутриутробного развития мозг формировался несимметрично и не влекут за собой никаких проблем для здоровья человека.
Я встречала пациентов, у которых с одной стороны не хватало четвёртой части мозга. Но при этом такая арахноидальная ликворная киста никак не отразилась на их самочувствии и мыслительной деятельности. Это происходит потому, что компенсаторные возможности центральной нервной системы высоки. Поэтому говорить о размерах, являющихся нормой для такого вида кисты, не совсем корректно. Из случая, который я описала, видно – даже огромная арахноидальная ликворная киста может не доставлять человеку никакого дискомфорта, кроме головных болей в случае повышения внутричерепного давления. Назначение лекарственных препаратов с целью нормализации оттока ликвора помогает таким пациентам снять головную боль.
Микрокисты эпифиза – другой вид неопасных кист, достаточно часто выявляемых при МРТ-исследованиях. Их размер обычно составляет от 3 до 5 мм. Если образование больше указанных параметров, мы рекомендуем провести МРТ с контрастным усилением. Это необходимо для того, чтобы исключить онкологию.
Когда применение контраста при МРТ – необходимость? Узнать здесь
Крупные кисты эпифиза нужно наблюдать в динамике, микрокисты не требуют такого внимания.
— Какими симптомами проявляют себя кисты головного мозга?
Что касается врождённых, то это, в основном, «молчащие» кисты, крайне редко увеличивающиеся в размерах и приводящие к какой-то симптоматике. Этот вид кист не представляет никаких угроз и в плане озлокачествления.
Вторичные кисты могут давать симптомы, порой достаточно грозные. Чаще это — головные боли, при нарушении ликвородинамики бывает тошнота и рвота, возможно появление фокальных судорог – в лице, руке или ноге. Если размер кисты настолько велик, что приводит к смещению определённых структур головного мозга, это может привести к парезам, параличам, угнетению сознания.
Как снять головную боль напряжения? Узнать здесь
— МРТ позволяет определить вид кисты?
МРТ головного мозга с внутривенным контрастированием на аппарате мощностью не менее 1,5 Тесла позволяет определить тип кисты с высокой точностью. Каждый вид кисты по-своему накапливает контрастное вещество.
— Диагноз «киста головного мозга» — это всегда показание для операции?
Нет. При врождённых кистах, не дающих симптоматику, операции не проводятся. Эти кисты показано наблюдать с выполнением МРТ-исследования раз в 6 или 12 месяцев.
При приобретённых кистах, если речь идёт о кистозных формах метастатических опухолей, первичных глиальных опухолях, паразитарных кистах или абсцессах, нейрохирург часто принимает решение в пользу хирургического вмешательства. А коллоидные кисты третьего желудочка представляют собой ургентные ситуации, требующие срочного оперативного вмешательства.
— При проведении хирургического вмешательства по поводу кист головного мозга всегда проводится трепанация черепа?
Нет. Это зависит от локализации и типа кисты. При некоторых видах кист показано кистоперитонеальное шунтирование или микрохирургическая фенестрация базальных цистерн.
— К врачу какой специальности необходимо обратиться за консультацией, если в заключении после проведения магнитно-резонансной томографии указан диагноз «киста головного мозга»?
К неврологу или нейрохирургу. Как правило, в рекомендациях, как письменных, так и устных, мы указываем, консультация врача какой специализации нужна пациенту.
На фото: Волкова Оксана Егоровна
Другие статьи по теме:
Что показывает МРТ гипофиза?
Чем отличается открытый и закрытый томограф?
Источник
Киста является достаточно частой находкой на МРТ головного мозга. Ее появление может быть спровоцировано разными факторами. Например, киста головного мозга может быть следствием нарушенного ликворооттока (ликворные кисты) или врожденной патологией, как арахноидальная киста головного мозга у детей. Диагностировать кистозное образование в головном мозге можно с помощью любого томографа. Здесь модель и мощность аппарата не играют сильного влияния на качество диагностики. Оценку кистозного участка головного мозга по данным MP-томографии пациентам проводят для:
- первичного определения кисты;
- определения этиологии внутримозговой и оболочной кисты;
- оценки качественного состава содержимого кист и ликворопроводящих структур;
- назначения этиотропной терапии;
- своевременного проведения профилактики осложнений.
Симптомы кисты головного мозга
Киста головного мозга может проявляться симптоматически или долгое время существовать бессимптомно. Признаки кистозного образования достаточно серьезные — это головная боль, атаксия, то есть нарушение контроля движений, различные приступообразные состояния, в том числе эпилептические припадки. Каким образом киста головного мозга или оболочек заявит о себе, зависит от ее локации и размеров.
Зачастую в начале своего формирования киста головного мозга развивается бессимптомно, и у пациента заподозрить эту патологию без процедуры МРТ головного мозга невозможно. Когда киста достигает больших размеров и начинает давить на соседние мозговые структуры, появляются неврологические симптомы. Тогда больной приходит на прием к неврологу. Врач, собрав все жалобы, чтобы выявить истинные причины недомогания, направляет пациента сделать МРТ головного мозга.
У лиц более старшего возраста кисты очень часто являются случайной находкой на МРТ или КТ головы при поиске каких-либо других проблем со стороны головного мозга.
| Вид исследования | Цена на МРТ | Цена на МРТ 3 Тесла | Скидки |
|---|---|---|---|
| МРТ головного мозга | от 2500 руб. | от 5200 руб. | Ночью |
| МРТ головного мозга с контрастом | от 5500 руб. | от 8200 руб. | Ночью |
| МРТ головного мозга и гипофиза | от 5000 руб. | от 8200 руб. | Ночью |
| МРТ головного мозга и сосудов головного мозга | от 5000 руб. | от 7200 руб. | Ночью |
| МРТ головы и шеи | от 5000 руб. | от 8200 руб. | Ночью |
| МР-перфузия головного мозга | от 4200 руб. | от 7200 руб. | — |
| МРТ головного мозга по программе эпилепсия | от 4200 руб. | от 7200 руб. | — |
| МРТ головного мозга на нейроваскулярный конфликт | от 3800 руб. | от 7200 руб. | — |
Признаки кисты на МРТ головного мозга
Основная задача МРТ головы при подозрении на кисту — выяснить, какова ее локализация, размеры, соответствует ли степень изменений и местоположения с теми неврологическими проявлениями, что имеются у пациента. Вторая задача томографии — дифференцировать кистозное образование от опухоли головного мозга, сосудов или оболочек. Здесь врач на МРТ снимках будет искать следующие признаки:
- шарообразное образование с круглыми четкими краями;
- признаки жидкости внутри капсулы кисты;
- отсутствие тканевой инвазии в соседние структуры головного мозга.
МРТ при арахноидальной кисте
Арахноидальная киста является чаще врожденной патологией и представляет собой ликворную кисту, которая образуется между мозгом и паутинной или арахноидальной оболочкой. При этом происходит небольшое аномальное развитие — дуплицируются и образуются две арахноидальные оболочки. Между оболочками имеется пространство, которое может заполниться спинномозговой жидкостью.
Иногда арахноидальная киста является последствием таких состояний, как менингит, или других воспалительных заболеваний со стороны головного мозга. Она также может сопутствовать некоторым наследственным заболеваниям.
В большинстве случаев врожденная арахноидальная киста образуется на этапе эмбрионального развития и представляет собой некоторую аномалию развития оболочек мозга и нервной системы. Стенками врожденной арахноидальной кисты является паутинная оболочка. У вторичной кисты стенкой может являться рубцовая ткань, та же самая арахноидальная оболочка или дополнительное наслоение коллагена.
Самые частые симптомы арахноидальной кисты — это головная боль и головокружение. Бывает, что человека впервые после 30 лет и старше начинает болеть или кружиться голова, ему при таких симптомах делается МРТ головного мозга и обнаруживается киста оболочек как случайный артефакт.
МРТ или УЗИ головного мозга при кисте
Ранее, когда в арсенале диагностических методов у врачей не было магнитно-резонансной томографии, диагностика кист головного мозга осуществлялась с помощью УЗ-энцефалографии. Такое исследование справлялось с выявлением кистозных образований у маленьких детей, но у взрослого пациента могло обнаружить только очень крупное новообразование.
Лечение
Когда заключение МРТ показало наличие кисты головного мозга, начинать переживать по этому поводу не стоит. Прежде всего при таком диагнозе следует обратиться к неврологу, который по результатам томографии и неврологического осмотра примет правильное решение о необходимости лечения кистозного образования. Как правило, мелкие и даже кисты головного мозга среднего размера требуют только наблюдения. Для этого врач назначает пациенту на ежегодной основе делать МРТ головного мозга. Если арахноидальная киста проявляется в раннем детстве у ребенка, и есть неврологические симптомы, то доктор чаще всего все же рекомендует провести нейрохирургическое вмешательство и удалить это новообразование. У взрослых при обнаружении крупных размеров кист проводят дренирование, шунтирование кисты или другие эндоскопические нейрохирургические вмешательства, которые локализуют кисту, уменьшают ее размеры и тем самым не дают ей влиять на головной мозг.

Автор:Сысоева Елена Михайловна
Специализация: Врач-рентгенолог
Где ведет прием: ЦМРТ
Список источников:
- Нормальная лучевая анатомия головного мозга (КТ, МРТ, УЗИ) Текст.: Руководство для врачей / Т.Н. Трофимова, Ю.В. Назинкина, Н.И. Ананьева [и др.]; СПб., 2004.
- Зозуля Ю.А., Пельц Б.А. Травматические кисты головного мозга. // В кн: Руководство по нейротравматологии. М., Медгиз, 1978.
- Jack C.R. Magnetic resonance imaging. Neuroimaging and anatomy. // J. Neuroimaging-Clin-N-Am. — Minnesota, USA, 1995, №4
- Олесен Дж. Диагностика головной боли Текст. / Дж. Олесен// Неврологический журнал. 1996. — №3.
- Naidich T.P., McLone D.G., Radkwski M.A. Intracranial arnchnoid cyst. // Pediat. Neurosci. — 1996, vol. 12Von Wild K., Kulali A., Gulotta F.
- Arachnoid Cyst of the midle fossa: aplasia of temporal lobe. // Europ. Soc. Paediatr. Neurosurg. — Denmark, 1986
- П. Борисова И. А. Супратенториальные экстрааксиальные арахноидальные кисты головного мозга у лиц различноговозраста (диагностика, хирургическое лечение). Автореф. дис. . канд. мед. наук. М., 1990.
Последние статьи об МРТ

Что показывает МРТ головного мозга
На сегодня в медицинских клиниках СПб МРТ головного мозга – это всеми признанный золотой стандарт в исследовании разных заболеваний структур головы. Показаниями для исследования мозга будут:

Что лучше — МРТ или КТ головного мозга
МРТ и КТ — это два томографических метода, которые позволяют визуализировать структуры головы, но каждый из этих видов сканирования лучше покажет те или иные ткани и органы. МРТ лучше, чем КТ, отображает органы, в которых много молекул воды.

УЗИ или МРТ головного мозга
Если у Вас возникает вопрос, МРТ или УЗИ головного мозга — что лучше, то в этой статье мы проведем сравнительный анализ диагностической ценности этих двух видов аппаратных исследований. Чтобы понять все преимущества и недостатки любого диагностического метода, в первую очередь нужно разобраться в принципе его действия.
Источник
Киста головного мозга – относится к доброкачественным новообразованиям, оно представляет собой пузырек с оболочкой из фиброзной ткани, заполненный жидкостью. Кисты могут образовываться во многих органах человеческого тела, но их поведение в большинстве случаев является предсказуемым. Особенность кист головного мозга состоит в том что, они могут возникать в разных отделах и структурах мозга.
В чем состоит опасность данного образования? За счет того что киста – это доброкачественная структура, сама по себе она не опасна. Киста не прорастает в соседние ткани и на протяжении долгого времени может находиться в «спокойном» состоянии, имея совсем небольшие размеры. В этом периоде она никак не проявляет себя, человек может жить и даже не догадываться, что в его мозге есть какое-либо новообразование. Известны случаи когда кисты пропадают сами собой, без какого-либо лечения.
Однако при воздействии неблагоприятных факторов, например, при травме головы, вирусной или бактериальной инфекции, развитии серьезных системных заболеваний и т.п. киста может начать быстро увеличиваться в размерах. Это приведет к сдавливанию соседних структур мозга, что может повлечь нарушения в его работе, которые в свою очередь скажутся на состоянии органов и систем, управляемых данными структурами.
В зависимости от места локализации кисты могут наблюдаться различные отклонения – нарушения зрения, слуха, координации движения и т.п. Состояние пациента будет тем хуже, чем быстрее будет увеличиваться киста и чем больших размеров она достигнет. Последствия могут быть очень серьезными, вплоть до летального исхода при неблагоприятном стечении обстоятельств (позднее обращение за медицинской помощью, наличие осложнений, ошибочные действия врача и т.п.).
МР- диагностика кисты головного мозга
В диагностике всех видов кист (а их насчитывается до десятка, в зависимости от места расположения) МРТ имеет решающее значение, так как только с ее помощью можно определить наличие кисты даже небольшого размера, проследить за динамикой ее роста, «поймать» момент начала неблагоприятного влияния на расположенные в непосредственной близости участки и ткани. Ни один другой метод диагностики не сможет дать ответов на эти вопросы. Ни один вид анализов, ни УЗИ, ни допплеровское исследование сосудов не имеют информативности в определении наличия, расположения и размеров кист.
На снимках МРТ головного мозга кисты определяются с высокой долей вероятности. Они выглядят как темные с ровными границами округлые пятна. Поскольку злокачественные раковые образования на изображениях во многом схожи с кистозными, для определения природы новообразования , зачастую, используют контрастное вещество. За счет отсутствия сосудистых структур кисты не накапливают контраст и после его введения затемненная область так и остается темным пятном с ровным контуром.
Таким образом, после проведения процедуры магнитно-резонансного сканирования, врач на основании снимков выдаст заключение, в котором будут указаны все признаки образования – локализация, размеры, состояние соседних тканей и сосудов и т.п. На основании этих сведений лечащий врач примет решение о дальнейшем поведении в отношении кисты.
Некоторые из них, особенно те, что имеют небольшие размеры и не влияют на соседние ткани, не требуют оперативного вмешательства, могут быть устранены при помощи медикаментозных средств, улучшающих питание и кровоснабжение головного мозга, устраняющих причину основного заболевания, вызвавшего образования кисты. Кисты большого размера, которые негативно влияют на определенные участки головного мозга и вызывают симптомы нарушения его работы, требуют оперативного вмешательства.
При наличии определенных симптомов необходимо обязательно провести диагностические мероприятия на МР-томографе для того, чтобы исключить кисту или другие опасные патологии головного мозга. К ним относится: головные боли, головокружения, нарушения сна, координации движения, функций органов слуха и зрения, судороги, потери сознания и т.п.
Источник